Iniciaste sesión como:
filler@godaddy.com
Iniciaste sesión como:
filler@godaddy.com
En DR ERNESTO NOGUERA , ofrecemos una amplia gama de servicios de odontología general para toda la familia. Desde chequeos regulares hasta tratamientos más complejos, nuestro equipo está aquí para asegurar que su salud dental esté siempre en óptimas condiciones. Nos enorgullece proporcionar atención personalizada y de calidad en un ambiente cómodo y amigable.

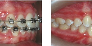
La ortodoncia es esencial para corregir problemas de alineación dental. En DR ERNESTO NOGUERA , contamos con especialistas en ortodoncia que utilizan las técnicas más modernas, incluyendo brackets y alineadores invisibles. Nuestro objetivo es brindarle una sonrisa hermosa y saludable, ajustando su tratamiento a sus necesidades y estilo de vida.

Si desea mejorar la apariencia de su sonrisa, el blanqueamiento dental en DR ERNESTO NOGUERA es la solución ideal. Utilizamos productos de alta calidad y técnicas seguras para garantizar resultados efectivos sin dañar su esmalte dental. Permítanos ayudarle a lograr la sonrisa brillante que siempre ha deseado.
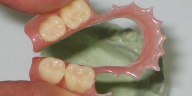
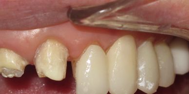
En DR ERNESTO NOGUERA , ofrecemos soluciones de implantes dentales para reemplazar dientes perdidos. Nuestros implantes son duraderos y se ven y funcionan como dientes naturales. Con un enfoque meticuloso en la atención al paciente, aseguramos que cada procedimiento se realice con la máxima precisión y cuidado.
La prevención es clave para mantener una buena salud dental. En DR ERNESTO NOGUERA , promovemos chequeos regulares y limpiezas para detectar problemas antes de que se conviertan en complicaciones. Nuestro equipo está capacitado para educarle sobre prácticas de higiene dental para que pueda mantener su sonrisa sana y hermosa.
Sabemos que las emergencias dentales pueden ocurrir en cualquier momento. En DR ERNESTO NOGUERA , ofrecemos atención de emergencia para tratar dolor agudo, lesiones o cualquier problema dental inesperado. Nuestro equipo está disponible para ayudarle y aliviar su malestar lo más pronto posible.

En DR ERNESTO NOGUERA , nuestra misión es proporcionar atención dental de alta calidad en un ambiente cómodo y acogedor. Creemos que una buena salud dental es fundamental para el bienestar general y nos esforzamos por educar a nuestros pacientes sobre la importancia del cuidado bucal.

Ofrecemos una amplia gama de servicios dentales, desde limpiezas y chequeos regulares hasta tratamientos avanzados como ortodoncia y odontología estética. En DR ERNESTO NOGUERA , utilizamos tecnología de vanguardia para asegurar que cada tratamiento sea efectivo y seguro.
Usamos cookies para analizar el tráfico del sitio web y optimizar tu experiencia en el sitio. Al aceptar nuestro uso de cookies, tus datos se agruparán con los datos de todos los demás usuarios.